
De la quimioterapia intravenosa a la terapia oral
Autor: William D. Marrero-León, hematólogo oncólogo con subespecialidad en leucemia en el MD Anderson Cancer Center. La leucemia mieloide aguda (LMA) es una enfermedad que se caracteriza por la

Autor: William D. Marrero-León, hematólogo oncólogo con subespecialidad en leucemia en el MD Anderson Cancer Center. La leucemia mieloide aguda (LMA) es una enfermedad que se caracteriza por la

Aunque la proporción de estadounidenses sin seguro médico se mantuvo estable durante 2025, nuevas proyecciones sugieren que millones de personas podrían perder cobertura en los próximos años debido a cambios

La obesidad no debe verse únicamente como un problema relacionado con el peso corporal o la apariencia física. Para la Dra. Leticia Hernández Dávila, endocrinóloga y especialista en manejo de

Ante el reto persistente del éxodo de profesionales de la salud en Puerto Rico, el Banco de Desarrollo Económico para Puerto Rico (BDE) y el Departamento de Salud convocaron la

AbbVie anunció la presentación de 18 extractos científicos sobre su cartera de gastroenterología durante la Semana de las Enfermedades Digestivas 2026 en Chicago, con nuevos datos sobre enfermedad inflamatoria intestinal

Los scooters eléctricos se han convertido en una alternativa popular de movilidad urbana en muchas ciudades del mundo. Sin embargo, médicos y profesionales de trauma advierten que el aumento de

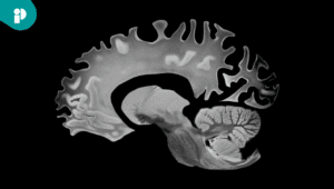
La migraña, una de las condiciones neurológicas más frecuentes e incapacitantes a nivel global, está entrando en una nueva etapa terapéutica gracias al desarrollo de medicamentos dirigidos al péptido relacionado

Profesionales de la salud, líderes clínicos, agencias gubernamentales y organizaciones comunitarias se reunieron en San Juan durante la 4ta Cumbre de Hepatitis Viral en Puerto Rico para fortalecer las estrategias

Especialistas del Centro Médico Menonita de Cayey realizaron el primer procedimiento en Puerto Rico con tecnología MitraClip™ G5 para reparar una válvula mitral sin necesidad de cirugía abierta. El Centro

Las emergencias urológicas continúan representando un desafío clínico que requiere atención rápida y especializada para evitar complicaciones graves e incluso potencialmente mortales. Condiciones como la retención urinaria, infecciones obstructivas asociadas