
Síndrome del párpado flácido
El diagnóstico final fue síndrome del párpado flácido, una afección que afecta la elasticidad de los párpados. Puede indicar una afección más grave: la apnea obstructiva del sueño. Es importante

El diagnóstico final fue síndrome del párpado flácido, una afección que afecta la elasticidad de los párpados. Puede indicar una afección más grave: la apnea obstructiva del sueño. Es importante

“Las lesiones pigmentadas congénitas pueden cubrirse de pelo y hacerse protuberantes desde etapas tempranas de la vida”, advierten descripciones clínicas sobre los nevos melanocíticos congénitos, hallazgo que suele generar alarma

El diagnostico puntual del caso es un cambio de color del arlequín. Hasta el 10 % de los bebés experimentan este cambio de color, que ocurre entre el segundo y

Un informe de caso reciente pone el foco en una presentación inusual de la enfermedad de Crohn (EC): la poliposis filiforme (PF) localizada en el íleon terminal como manifestación inicial

Un informe de caso reciente describe un episodio de síncope inexplicable asociado temporalmente al inicio del tratamiento con acamprosato, un fármaco utilizado para el manejo del trastorno por consumo de

Paciente femenina de 69 años acude al servicio de urgencias acompañada de sus familiares, muy espantados, porque al despertar notaron que su lengua estaba de color negro. Sus acompañantes manifestaron

Un caso clínico reciente ha encendido las alertas sobre el uso de suplementos de creatina de libre acceso, tras documentarse un episodio de trombosis venosa profunda (TVP) en un hombre

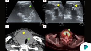
Un grupo de especialistas ha documentado un caso clínico inusual que pone a prueba los protocolos estándar de diagnóstico oncológico: el hallazgo de un Tumor Fibroso Solitario (TFS) localizado en

La biopsia cutánea y la aspiración de líquido articular descartaron calcifilaxis y confirmaron que el paciente presentaba depósitos de urato (tofos), es decir, gota . La microscopía con luz polarizada mostró cristales de

La hiponatremia persistente e inexplicable puede ser mucho más que una alteración metabólica aislada. Un caso clínico recientemente publicado pone de relieve cómo este hallazgo puede constituir el primer y