“El síndrome de Mirizzi es una complicación poco frecuente de la colelitiasis que puede presentarse sin ictericia, dificultando su diagnóstico”, destaca este caso. Este reporte evidencia cómo la ausencia de un signo clásico no excluye una patología obstructiva significativa del árbol biliar.
Se presenta el caso de un paciente masculino de 24 años con antecedentes de hipertensión, diabetes y obesidad, quien consultó por dolor abdominal en el cuadrante superior derecho, sin signos clínicos de ictericia.
Los estudios de laboratorio mostraron elevación de enzimas hepáticas, pero sin hiperbilirrubinemia significativa, lo que inicialmente disminuyó la sospecha de obstrucción biliar.
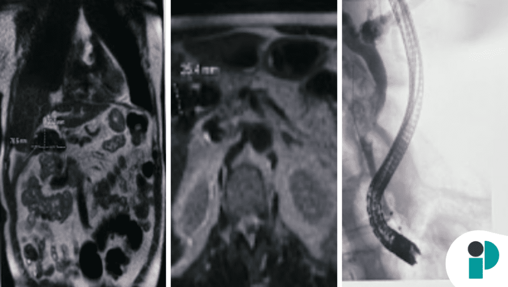
El ultrasonido abdominal evidenció colelitiasis, mientras que la tomografía mostró inflamación perivesicular. Posteriormente, la colangiopancreatografía por resonancia magnética (MRCP) reveló compresión del conducto hepático común sin dilatación biliar marcada, un hallazgo sugestivo de síndrome de Mirizzi en presentación atípica.
El diagnóstico se confirmó mediante colangiopancreatografía retrógrada endoscópica (ERCP), que evidenció un cálculo impactado en el conducto cístico causando compresión extrínseca del conducto hepático común.
Se realizó colocación de stent biliar mediante ERCP, seguida de colecistectomía laparoscópica, con evolución clínica favorable.
Este caso resalta que el síndrome de Mirizzi puede presentarse sin ictericia, lo que puede retrasar su reconocimiento si no se mantiene un alto índice de sospecha clínica.
El uso de estudios de imagen avanzados como MRCP y ERCP resulta fundamental para confirmar el diagnóstico y planificar el tratamiento adecuado, evitando complicaciones como colangitis o lesión del conducto biliar.
Reconocer estas presentaciones atípicas permite intervenciones oportunas y mejores desenlaces clínicos, especialmente en pacientes con factores de riesgo y síntomas persistentes.









