“Es crucial incluir el síndrome de Lemmel en el diagnóstico diferencial de obstrucción biliar o pancreatitis en ausencia de cálculos”, señalan los autores del caso presentado en el congreso del American College of Gastroenterology. El reporte evidencia cómo una causa anatómica poco frecuente terminó desencadenando un cuadro de pancreatitis aguda en un paciente adulto mayor.
El caso corresponde a un hombre de 79 años con antecedentes de diabetes tipo 2 e hipertensión, quien consultó por dolor epigástrico de inicio súbito acompañado de náuseas y vómito, sin irradiación típica. Los estudios de laboratorio mostraron elevación marcada de enzimas pancreáticas y pruebas hepáticas, con bilirrubina total elevada de predominio directo.
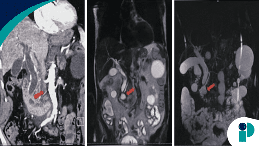
La tomografía abdominal evidenció inflamación pancreática con estriación de la grasa peripancreática, además de dilatación de la vía biliar y la presencia de un divertículo duodenal. Un hallazgo clave fue la ausencia de cálculos biliares en la ecografía, lo que obligó a ampliar el enfoque diagnóstico.
La colangiopancreatografía por resonancia magnética confirmó dilatación de la vía biliar sin defectos de llenado, junto con un divertículo periampular prominente, ubicado cerca de la ampolla de Vater. Este hallazgo permitió establecer el diagnóstico de síndrome de Lemmel, una entidad rara en la que el divertículo comprime estructuras biliares o pancreáticas, generando obstrucción.
Este síndrome es poco frecuente y ocurre en menos del 5 % de los casos de divertículos duodenales. En este contexto, la compresión extrínseca del conducto biliar o pancreático puede desencadenar pancreatitis o ictericia obstructiva, incluso en ausencia de cálculos o tumores.
El manejo en este paciente fue conservador, teniendo en cuenta su edad y comorbilidades, con evolución clínica favorable y resolución del cuadro inflamatorio sin necesidad de intervención quirúrgica.
Este caso resalta la importancia de considerar causas no habituales de pancreatitis cuando no se identifican los factores clásicos, como colelitiasis, alcohol o hipertrigliceridemia. Asimismo, destaca el valor de las imágenes multimodales para llegar a un diagnóstico preciso en escenarios clínicos complejos.
Fuente original aquí









