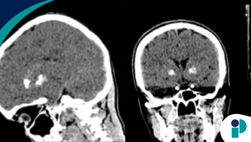
La enfermedad de Fahr puede ser un hallazgo silencioso hasta que una situación clínica común saca a la luz un marcado patrón de calcificación intracraneal. En este caso, un hombre de mediana edad acudió tras una caída con trauma craneal menor, sin síntomas neurológicos iniciales relevantes, pero la tomografía computarizada de cráneo reveló hallazgos radiológicos llamativos: calcificaciones bilaterales y simétricas en ganglios basales, tálamo y corteza cerebral.
Estos depósitos calcificados, típicos de enfermedad de Fahr familiar, sugieren una alteración metabólica o neurodegenerativa subyacente, incluso en ausencia de manifestaciones clínicas evidentes al momento del accidente. Los autores destacan que estos hallazgos no se vincularon directamente al trauma craneal, sino que fueron un descubrimiento incidental que permitió confirmar el diagnóstico de una enfermedad poco común.
Enfermedad de Fahr: ¿qué es y por qué importa?
La enfermedad de Fahr se caracteriza por calcificaciones patológicas de estructuras profundas del cerebro, particularmente núcleos basales y dentados, y suele asociarse a trastornos del metabolismo del calcio, fósforo o a variantes genéticas familiares. Su presentación puede ser asilintomática o con síntomas neurológicos progresivos como trastornos del movimiento, deterioro cognitivo o convulsiones, dependiendo de la región afectada.
En este paciente, la evaluación neurológica completa no mostró déficits motores significativos, alteraciones cognitivas evidentes ni signos extrapiramidales al ingreso. Sin embargo, los hallazgos de imagen orientaron a realizar estudios metabólicos y genéticos familiares, confirmando la forma familiar de la enfermedad de Fahr. Esto permitió no solo un diagnóstico oportuno, sino también asesoría genética y tamizaje de parientes de primer grado, dado su patrón hereditario.
Implicaciones para la práctica clínica
Los autores subrayan que, aunque la enfermedad de Fahr es rara, sus características radiológicas son suficientemente distintivas como para ser reconocidas incluso en estudios de imágenes realizados por otras indicaciones, como el trauma craneal. Su detección incidental debe llevar a evaluación neurológica y metabólica completa, así como a consejería familiar, ya que algunos casos pueden asociarse a trastornos del metabolismo del calcio o a formas genéticas autosómicas dominantes.
Fuente original aquí https://www.clinicalcasereportsint.com/open-access/incidental-detection-of-familial-fahrrsquos-disease-following-a-9900.pdf









