Un reciente informe médico ha documentado un caso poco frecuente de tumor cribiforme cutáneo primario, una neoplasia anexial extremadamente rara que puede confundirse con otras lesiones de la piel debido a su complejidad clínica e histológica. La publicación aporta nueva evidencia sobre esta entidad, de la cual apenas se han descrito alrededor de 50 casos en la literatura científica internacional.
La piel, el órgano más extenso del cuerpo humano, cumple funciones esenciales en la regulación térmica, la defensa inmunológica y la protección frente a agresiones externas.
Debido a su diversidad celular y estructural, puede desarrollar múltiples tipos de tumores, cuyo diagnóstico suele requerir una minuciosa correlación clínica, radiológica y patológica. Esta heterogeneidad, sin embargo, puede dificultar la diferenciación entre lesiones benignas y malignas, generando incertidumbre incluso entre especialistas.
El caso reportado corresponde a un hombre sin antecedentes relevantes, quien acudió a consulta por un nódulo subcutáneo solitario en la pierna izquierda.
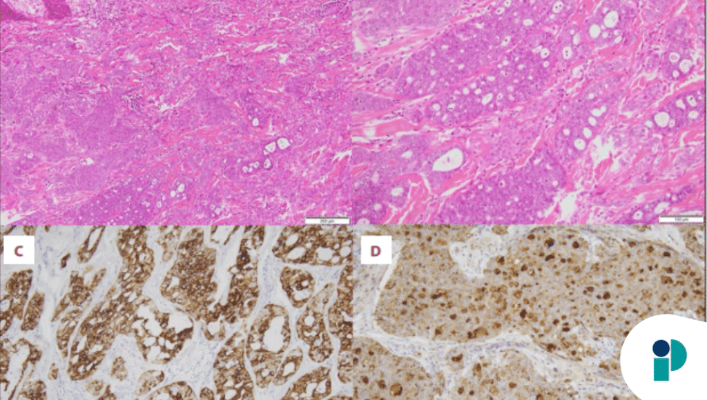
Tras la evaluación clínica inicial, los médicos optaron por la resección quirúrgica y la realización de estudios complementarios, incluyendo pruebas radiológicas y un detallado análisis anatomopatológico. Fue este último el que permitió confirmar la presencia de un tumor cribiforme cutáneo primario, antes denominado carcinoma cribiforme cutáneo.
Esta neoplasia rara se caracteriza por un patrón morfológico particular y un comportamiento clínico que, aunque generalmente indolente, puede llevar a diagnósticos erróneos si no se cuenta con experiencia previa en su identificación.
La escasez de estudios y series de casos también dificulta establecer guías claras para su abordaje terapéutico, lo que representa un reto tanto para los dermatólogos como para los patólogos.
Los autores del informe destacan que la presentación de casos adicionales es crucial para mejorar la comprensión de esta entidad, afinar los criterios diagnósticos y evitar confusiones con otros tumores cutáneos, ya sean benignos o malignos. Al ampliar el cuerpo de evidencia disponible, se espera facilitar un reconocimiento más preciso y oportuno de este tipo de lesiones, contribuyendo a decisiones terapéuticas mejor fundamentadas.
Fuente: AQUÍ









