Un grupo de especialistas presentó una serie de casos que pone bajo la lupa una complicación tan infrecuente como peligrosa en pacientes con cáncer: las reacciones leucemoides, un aumento extremo y no leucémico de los glóbulos blancos, asociado en ocasiones a tumores sólidos avanzados.
El trabajo, realizado en un hospital entre 2016 y 2024, describe un caso central de cáncer de páncreas acompañado por esta reacción y otros cuatro episodios similares.
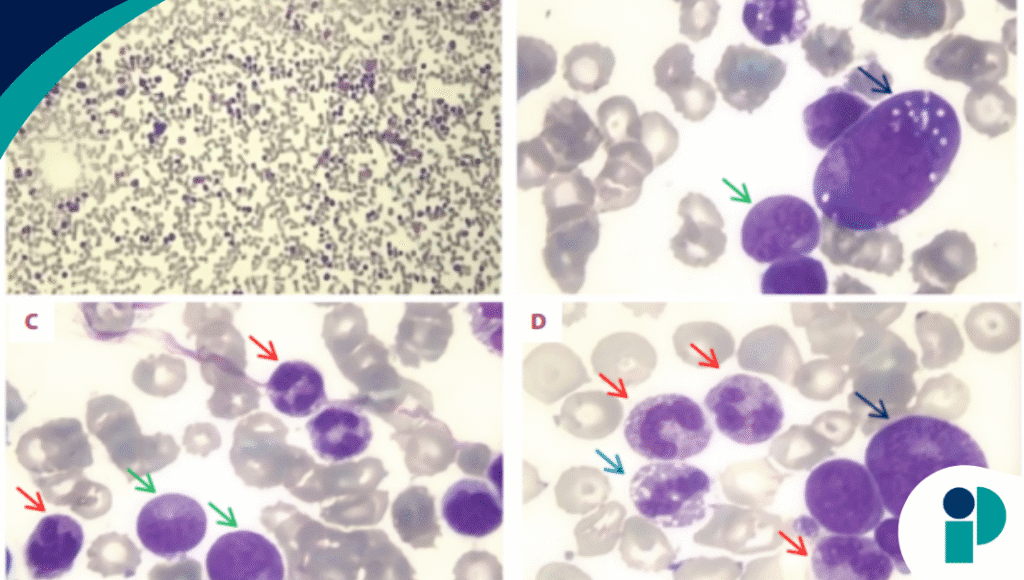
Según los autores, las reacciones leucemoides constituyen manifestaciones paraneoplásicas poco comunes cuyo manejo clínico aún no cuenta con lineamientos bien definidos.
El estudio analiza de forma sistemática las características clínicas de los pacientes afectados y explora los posibles mecanismos moleculares que podrían impulsar esta respuesta descontrolada del organismo.
Un caso emblemático y una evolución fulminante
Entre los cinco pacientes revisados, destaca el caso de un hombre de 52 años con adenocarcinoma pancreático avanzado y una mutación KRAS p.G12D. En el contexto de metástasis hepáticas desarrolló una leucocitosis extrema que no respondió al uso de antibióticos de amplio espectro ni a terapias citorreductoras.
Tampoco lograron frenar el deterioro clínico las medidas de soporte intensivo, como adsorción de bilirrubina, plasmaféresis y hemofiltración venovenosa continua. El paciente evolucionó rápidamente hacia un fallo multiorgánico.
Los otros cuatro casos incluidos en la serie —un cáncer de mama metastásico, un cáncer de colon, un colangiocarcinoma y un segundo cáncer de páncreas de carácter recurrente— mostraron un comportamiento igualmente agresivo. Solo el caso de cáncer de mama presentó una estabilización transitoria.
Los investigadores concluyen que los pacientes oncológicos que desarrollan una reacción leucemoide suelen enfrentar un pronóstico desfavorable. Por ello recomiendan que los médicos mantengan una alta sospecha clínica ante recuentos de leucocitos extraordinariamente elevados y procedan a evaluar de inmediato las posibles causas subyacentes, ya sea infección, progresión tumoral o fenómenos paraneoplásicos.
El estudio subraya además la necesidad de avanzar en la comprensión de los mecanismos biológicos que desencadenan estas reacciones y de desarrollar estrategias terapéuticas dirigidas.
“Las investigaciones futuras deberían centrarse en los procesos moleculares que impulsan el desarrollo y la progresión de las reacciones leucemoides, con el objetivo de mejorar la supervivencia y los resultados clínicos de los pacientes”, concluyen los autores.
Fuente: AQUÍ









