“El pólipo fibroso inflamatorio es una lesión benigna poco frecuente que puede actuar como punto de arrastre y desencadenar intususcepción”, describen los autores del caso publicado en Oxford Medical Case Reports. Este reporte muestra cómo un tumor raro del intestino delgado terminó causando una obstrucción intestinal aguda en un paciente adulto, una presentación poco habitual fuera de la población pediátrica.
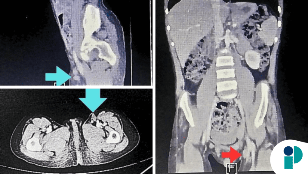
El paciente consultó por dolor abdominal progresivo, distensión y síntomas compatibles con obstrucción intestinal, lo que motivó la realización de estudios de imagen. Estos evidenciaron invaginación intestinal (intususcepción), un hallazgo infrecuente en adultos y que, a diferencia de los niños, suele estar asociado a una causa estructural subyacente.
Ante este escenario, se decidió manejo quirúrgico. Durante la intervención se identificó una masa localizada en el intestino delgado (íleon), responsable del fenómeno obstructivo. La lesión actuaba como punto de tracción, favoreciendo que un segmento intestinal se introdujera dentro de otro.
El análisis histopatológico confirmó el diagnóstico de pólipo fibroso inflamatorio (tumor de Vanek), una entidad benigna originada en la submucosa del tracto gastrointestinal. Aunque no es maligno, puede crecer lo suficiente como para generar complicaciones mecánicas significativas, como la obstrucción intestinal.
Este tipo de tumores son raros y su diagnóstico preoperatorio es difícil, ya que los síntomas suelen ser inespecíficos. En muchos casos, como en este, el diagnóstico definitivo se realiza tras la resección quirúrgica y el estudio histológico.
La intususcepción en adultos representa una pequeña proporción de los casos de obstrucción intestinal, pero en la mayoría de los pacientes está asociada a una lesión tumoral, lo que obliga a un abordaje quirúrgico oportuno para evitar complicaciones mayores.
El tratamiento consistió en resección del segmento intestinal afectado, con evolución clínica favorable. Este caso resalta que incluso lesiones benignas pueden tener un impacto clínico significativo si no se identifican a tiempo.
Fuente original aquí









