Un inusual caso clínico encendió las alarmas en la comunidad médica: una joven de 25 años sufrió una disección de la arteria vertebral (DAV), complicación grave que desencadenó un accidente cerebrovascular isquémico, tras realizar rutinas intensas con un videojuego de fitness en casa.
La DAV es una causa importante de infarto cerebral en adultos jóvenes y suele estar asociada a traumatismos, movimientos bruscos del cuello o ejercicio vigoroso. Sin embargo, esta es una de las primeras veces que se documenta una posible relación con un videojuego interactivo de entrenamiento físico.
Detalles del caso
La paciente, previamente sana y sin factores de riesgo vascular, experimentó dolor agudo en el cuello mientras realizaba movimientos repetitivos de empuje y tracción con un mando de resistencia, durante una sesión con el juego Ring Fit Adventure (Nintendo).
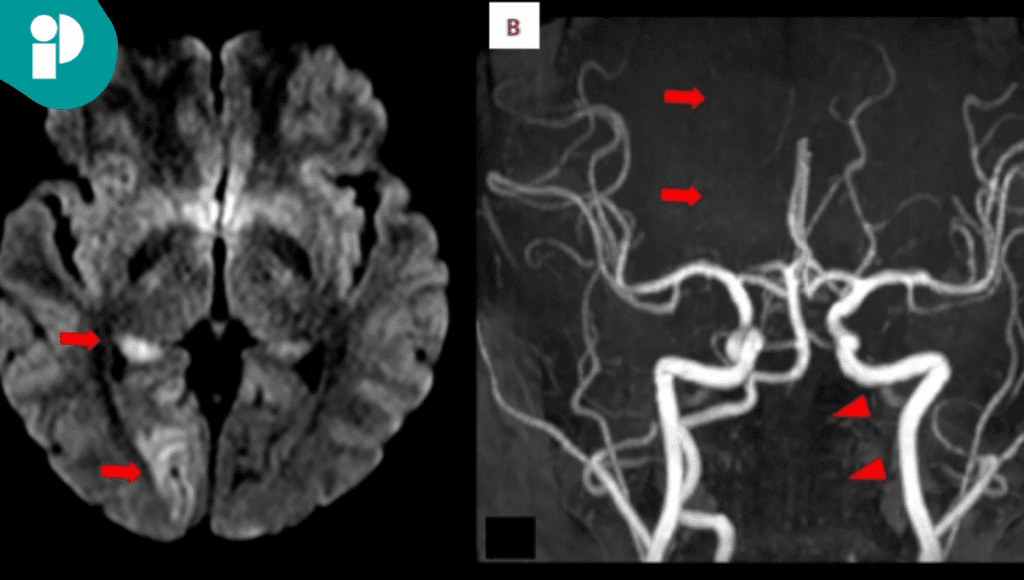
Dos días después presentó entumecimiento en el lado izquierdo y alteraciones visuales repentinas. Los estudios médicos confirmaron un infarto en el lóbulo occipital derecho y una disección de la arteria vertebral izquierda con trombo intramural.
Fue sometida de urgencia a una trombectomía endovascular y trombolisis intraarterial, con resultados positivos. Tras el tratamiento y una doble terapia antiplaquetaria, recuperó casi por completo sus funciones, quedando únicamente con un defecto visual leve.
Implicaciones para la salud pública
Los especialistas advierten que, aunque no se puede establecer una causalidad definitiva, el caso evidencia que incluso actividades de apariencia segura, como los videojuegos de fitness, pueden representar un riesgo vascular en personas sedentarias si se realizan movimientos intensos sin preparación física previa.
Con la creciente popularidad de este tipo de juegos, los expertos recomiendan precaución al iniciar rutinas extenuantes en casa, sobre todo para quienes no tienen entrenamiento regular. También destacan la necesidad de que los profesionales de la salud estén atentos a posibles complicaciones neurológicas poco frecuentes pero graves asociadas a esta modalidad de ejercicio.
Fuente consultada: AQUÍ









