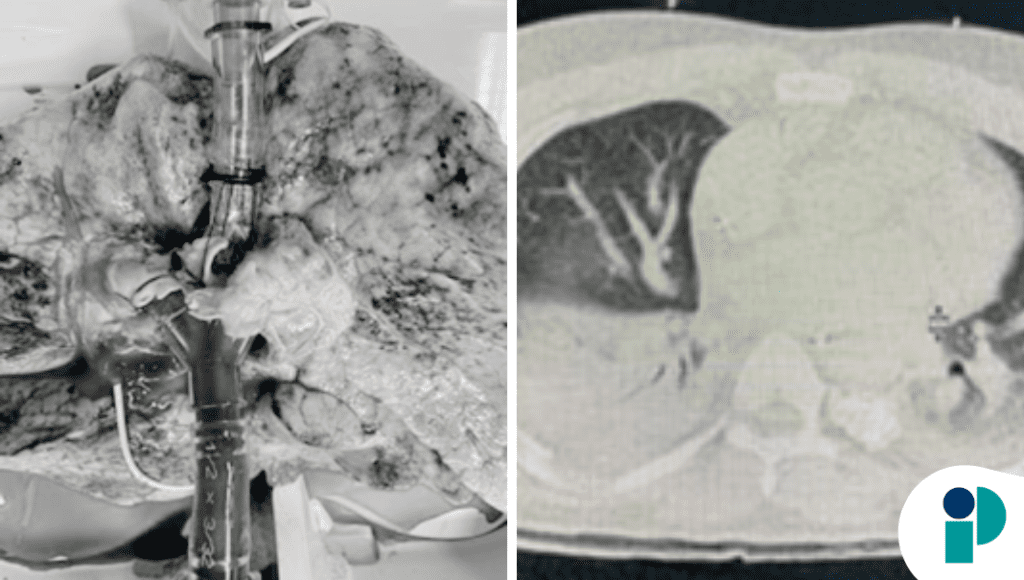
En trasplante pulmonar, los desafíos técnicos pueden surgir incluso en escenarios controlados como la perfusión pulmonar ex vivo (EVLP). En este caso, un equipo quirúrgico se enfrentó a un bloqueo segmentado del pulmón donante que complicó la perfusión pulmonar fuera del cuerpo, un paso crítico para evaluar la viabilidad del injerto antes de la implantación.
El reporte, centrado en un pulmón donante con hallazgos anatómicos atípicos, describe cómo la presencia de obstrucción vascular segmentaria generó discrepancias en la distribución del flujo durante la EVLP, lo que dificultó la valoración funcional estándar del pulmón. Este tipo de bloqueo, aunque infrecuente, puede impactar la decisión de proceder con el trasplante o ajustar la estrategia de manejo.
Desafíos en la perfusión ex vivo
La EVLP se utiliza para mantener y evaluar pulmones donantes fuera del cuerpo del receptor, permitiendo medir parámetros como compliance, resistencia vascular y oxigenación antes de decidir la aceptación del órgano. En este caso, la distribución irregular del flujo de perfusión debido al bloqueo segmentado obligó al equipo a implementar ajustes técnicos para equilibrar la perfusión y evitar daño adicional.
¿Qué implica clínicamente?
Aunque los bloqueos segmentados pueden relacionarse con alteraciones anatómicas congénitas o cambios vasculares adquiridos, su presencia durante EVLP destaca la importancia de una evaluación detallada de la anatomía vascular pulmonar donante antes y durante la perfusión. El manejo exitoso de este caso sugiere que, con monitoreo cuidadoso y ajustes en tiempo real, es posible sobrepasar estas dificultades técnicas y confirmar la viabilidad del injerto.
Este caso pone de relieve que los procedimientos avanzados como la EVLP deben considerar no solo parámetros fisiológicos globales, sino también variaciones anatómicas individuales que pueden afectar la eficiencia de la perfusión y, por ende, las decisiones de trasplante.
Fuente original aquí









