“Las experiencias religiosas intensas pueden estar asociadas a crisis del lóbulo temporal o estados postictales”, describe el caso clínico publicado en Epilepsy & Behavior Reports. Este reporte muestra cómo la epilepsia crónica puede manifestarse con cambios conductuales profundos, incluyendo hiperreligiosidad y síntomas psicóticos.
El caso corresponde a un hombre de 75 años con antecedente de epilepsia de larga data, quien desarrolló progresivamente cambios en la conducta, deterioro cognitivo y una fuerte conversión religiosa años antes de la aparición de síntomas neurológicos más severos.
Con el tiempo, el paciente presentó delirios religiosos cada vez más intensos, acompañados de síntomas neuropsiquiátricos como el síndrome de Capgras, una alteración en la que la persona cree que sus familiares han sido reemplazados por impostores.
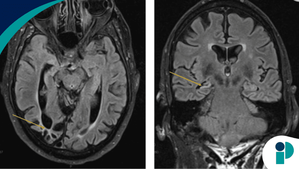
Los estudios de neuroimagen revelaron atrofia cortical posterior bilateral, daño occipito-parietal y esclerosis mesial temporal derecha, hallazgos que respaldan la asociación entre epilepsia del lóbulo temporal y cambios conductuales complejos.
Además, las evaluaciones neuropsicológicas mostraron una evolución desde disfunción focal temporal hacía compromiso frontal y bilateral, explicando la progresión hacia deterioro cognitivo global.
Uno de los puntos más relevantes del caso es que la hiperreligiosidad puede ser una manifestación neurológica y no exclusivamente psicológica o cultural, especialmente en pacientes con epilepsia del lóbulo temporal.
Se plantea que factores como las crisis epilépticas, el deterioro cerebral progresivo y la privación sensorial pudieron contribuir a la aparición de estos síntomas, en un proceso complejo y multifactorial.
Este caso resalta la importancia de reconocer los síntomas conductuales y psiquiátricos como posibles manifestaciones neurológicas, lo que puede evitar diagnósticos erróneos y retrasos en el manejo adecuado.
Además, pone en evidencia que las alteraciones en el cerebro pueden influir directamente en experiencias subjetivas profundas, como las creencias religiosas, abriendo una perspectiva clave en la intersección entre neurología y comportamiento humano.
Fuente original aquí









