Un informe clínico reciente resalta el manejo exitoso de un embarazo ectópico en cicatriz uterina por cesárea (PECES) mediante el uso de metotrexato (MTX) intragestacional y un seguimiento prolongado, ofreciendo perspectivas valiosas para una condición poco frecuente y de alto riesgo.
Los embarazos ectópicos de cicatriz uterina son una complicación rara en la que el embrión se implanta en el tejido cicatricial de cesáreas previas. Este tipo de embarazo representa un alto riesgo de hemorragia y ruptura uterina, lo que aumenta la morbilidad y mortalidad materna. Aunque la Sociedad de Medicina Materno-Fetal (SMF) recomienda la interrupción médica o quirúrgica de estos casos, aún no existen guías definitivas sobre el mejor abordaje.
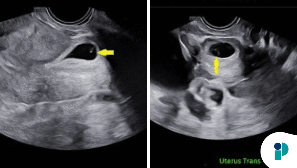
Detalles del caso clínico
Se reporta el caso de una paciente de 36 años, con dos cesáreas transversales bajas previas, que acudió en el primer trimestre de gestación. Una ecografía confirmó el diagnóstico de PECES tipo 2.
Tras recibir orientación sobre opciones médicas y quirúrgicas, la paciente eligió un manejo conservador con inyección intragestacional de MTX. El proceso requirió un seguimiento estrecho con mediciones seriadas de gonadotropina coriónica humana beta (β-hCG) durante seis meses, un tiempo mayor al observado en casos similares.
La paciente no presentó complicaciones, no requirió dosis adicionales ni intervención quirúrgica, y alcanzó niveles indetectables de β-hCG al final del seguimiento.
El caso demuestra que, en pacientes estables y con acceso a un control clínico riguroso, el tratamiento médico con MTX intragestacional puede ser una opción viable y segura para el manejo de embarazos ectópicos en cicatriz de cesárea.
Los especialistas concluyen que la variabilidad en la evolución de estos casos exige una comunicación estrecha entre médicos y pacientes, así como vigilancia prolongada para garantizar resultados positivos.
Fuente: AQUÍ









