“La mayoría de las complicaciones oculares por enfermedad por arañazo de gato tienen un pronóstico visual favorable; sin embargo, los casos graves pueden dejar secuelas irreversibles”, destaca este reporte. Este caso evidencia cómo una infección habitualmente autolimitada puede evolucionar hacia daño ocular permanente.
Se presenta el caso de una niña de 6 años con antecedente de fiebre alta sostenida durante 10 días, seguida de disminución visual progresiva en el ojo derecho, identificada por sus padres aproximadamente dos meses después del inicio. En la evaluación oftalmológica se documentó una agudeza visual severamente reducida, con capacidad de contar dedos a 10 cm, además de escotoma central.
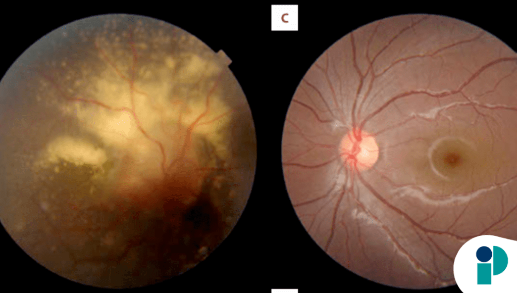
El examen de fondo de ojo reveló edema del nervio óptico, exudados retinianos difusos, hemorragias prerretinianas y hemorragia vítrea leve, acompañado de desprendimiento seroso macular en la tomografía de coherencia óptica. Un hallazgo particularmente llamativo fue el desprendimiento vítreo posterior, una condición excepcionalmente rara en población pediátrica y considerada marcador de inflamación intraocular severa.
Durante la valoración física se identificó una abrasión lineal compatible con arañazo de gato en la mejilla derecha. La paciente convivía en un entorno con múltiples gatos rescatados, lo que reforzó la sospecha clínica de enfermedad por arañazo de gato. Posteriormente, la serología confirmó infección por Bartonella henselae.
Ante la gravedad del cuadro ocular, se instauró tratamiento empírico con azitromicina y prednisolona oral antes de la confirmación serológica. Aunque se observó mejoría anatómica progresiva con resolución del edema óptico y del desprendimiento macular, la recuperación funcional fue limitada.
Diecinueve meses después, la paciente presentó una agudeza visual final de 20/100, con persistencia de escotoma central y evidencia estructural de adelgazamiento de la capa de fibras nerviosas retinianas, pérdida de células ganglionares y daño en la capa de fotorreceptores, hallazgos compatibles con lesión irreversible.
Este caso resalta que la enfermedad por arañazo de gato puede manifestarse con neurorretinitis óptica severa y vitreorragia, y que el retraso diagnóstico puede favorecer inflamación prolongada y daño permanente tanto en retina interna como externa.
En conclusión, ante síntomas visuales sutiles en niños tras cuadros febriles, especialmente con exposición a gatos, es fundamental considerar esta entidad de forma temprana para evitar secuelas visuales irreversibles.
Fuente original aquí









