Un equipo médico ha documentado un caso clínico notable en un hombre de 58 años con un historial de tiroiditis autoinmune (de Hashimoto). El paciente, que presentó un cuadro de ronquera y un agrandamiento de la tiroides durante seis meses, fue diagnosticado con la coexistencia poco común de tres afecciones: linfoma de tejido linfoide asociado a las mucosas (MALT), un tipo de linfoma no Hodgkin de bajo grado, y carcinoma papilar de tiroides (CPT).
Un diagnóstico con múltiples desafíos
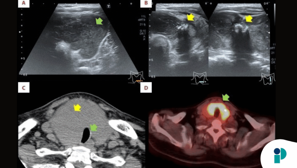
Inicialmente, los médicos se enfrentaron a la dificultad de discernir la causa de la inflamación de los ganglios linfáticos del cuello y la captación de F-fluorodesoxiglucosa cerca del páncreas, un hallazgo en la tomografía por emisión de positrones (TEP).
No estaba claro si estas anomalías estaban vinculadas al CPT, al linfoma maligno o a ambos. Este caso ilustra los desafíos diagnósticos que pueden surgir cuando múltiples patologías se superponen.
Tratamiento y remisión exitosa
Para abordar las afecciones, se realizó una tiroidectomía total y una disección de ganglios linfáticos. Tras el análisis histopatológico, se confirmó el diagnóstico de CPT y linfoma MALT, atribuyéndose la inflamación de los ganglios linfáticos al linfoma MALT.
Posteriormente, el paciente recibió quimioterapia posoperatoria con rituximab solo. El tratamiento resultó ser un éxito, ya que el paciente ha mantenido la remisión durante casi tres años después de la cirugía.
De esta manera, este caso subraya la ya conocida asociación entre la tiroiditis de Hashimoto y el linfoma MALT tiroideo, al tiempo que presenta un hallazgo poco frecuente de la coexistencia de CPT y linfoma MALT.
La resolución del caso, que dependió de un diagnóstico histopatológico preciso, refuerza la importancia de este tipo de análisis para la medicina. Los hallazgos podrían contribuir a una mejor comprensión y tratamiento de estas complejas interacciones entre enfermedades tiroideas.
Fuente consultada: AQUÍ









