Un equipo médico ha documentado lo que podría ser el primer caso reportado de hemomediastino espontáneo posterior a una apendicectomía laparoscópica, una complicación extremadamente rara que pone en evidencia la necesidad de vigilancia clínica incluso después de procedimientos quirúrgicos considerados de bajo riesgo.
El caso, recientemente publicado en un informe médico, describe a un hombre de 65 años con antecedentes de enfermedad pulmonar intersticial, enfermedad mixta del tejido conectivo, pleurodesis y cardiopatía coronaria, quien fue sometido a una apendicectomía laparoscópica sin complicaciones por apendicitis gangrenosa.
Sin embargo, poco después de la intervención, el paciente comenzó a presentar dolor torácico, hemoptisis (expectoración con sangre) e inestabilidad hemodinámica, junto con una significativa caída en los niveles de hemoglobina.
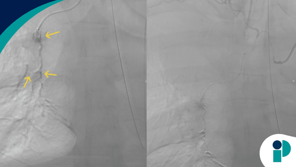
Una tomografía computarizada con contraste reveló un extenso hematoma en el mediastino superior derecho, acompañado de extravasación activa de contraste, lo que indicaba una hemorragia en curso. Inicialmente, la radiología intervencionista logró controlar el sangrado mediante embolización del vaso afectado. Sin embargo, la hemoptisis persistente y la inestabilidad del paciente obligaron a realizar una nueva embolización, esta vez en la arteria bronquial derecha, así como una broncoscopia diagnóstica.
Ante el deterioro respiratorio progresivo y el riesgo de taponamiento cardiopulmonar, se procedió a una toracotomía asistida por videotoracoscopia para evacuar completamente el hematoma y liberar las adherencias pleurales. La intervención fue exitosa y el paciente logró una recuperación favorable, siendo dado de alta en buen estado diez días después.
Este inusual caso clínico subraya la importancia de considerar diagnósticos poco frecuentes ante síntomas torácicos agudos tras cirugías abdominales y destaca el valor de una intervención rápida y multidisciplinaria.
“Este caso destaca una complicación inusual de hemomediastino espontáneo tras una apendicectomía laparoscópica, lo que enfatiza la importancia de la identificación temprana y la intervención oportuna para su manejo”, mencionan los autores en el informe.
Hasta la fecha, no existían reportes documentados de hemomediastino posterior a una apendicectomía laparoscópica, lo que convierte a este caso en una referencia clave para futuras investigaciones y guías clínicas.
Fuente consultada: AQUÍ









