Una mujer japonesa de 70 años, con diabetes tipo 2 y obesidad clase III (IMC de 51,1), desarrolló una esofagitis por reflujo severa tras seis meses de tratamiento con semaglutida semanal (0,25 mg), según un informe clínico del gastroenterólogo Dr. Shin Kashima y su equipo del Departamento de Medicina Interna de la Universidad Médica de Asahikawa, Japón.
El caso, publicado recientemente, pone de relieve la necesidad de una evaluación temprana y vigilancia activa ante síntomas gastrointestinales persistentes en pacientes tratados con agonistas del receptor del péptido similar al glucagón tipo 1 (GLP-1 RA), como semaglutida.
Una historia de pérdida de peso y síntomas ignorados
La paciente comenzó el tratamiento con semaglutida para el control glucémico y la reducción de peso. En los primeros meses experimentó una pérdida de peso rápida, lo que llevó a que los episodios de vómito y dolor epigástrico fueran inicialmente atribuidos al proceso de adelgazamiento.
Ante la mejoría general, la dosis fue aumentada a 0,5 mg diarios. Sin embargo, una semana después, se presentaron episodios frecuentes de vómito. A pesar de la sintomatología, el tratamiento fue mantenido debido a los buenos resultados en pérdida de peso.
Seis meses después, la paciente fue ingresada al hospital por empeoramiento del dolor epigástrico y vómito persistente, sin antecedentes relevantes ni uso de medicamentos asociados a lesiones esofágicas.
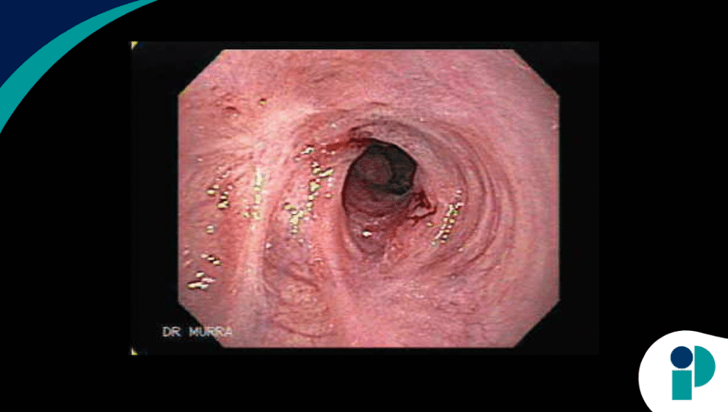
Las imágenes por tomografía computarizada mostraron engrosamiento difuso de la pared esofágica, y la endoscopia digestiva alta reveló una gran úlcera que se extendía desde el esófago torácico superior hasta el abdominal.
El equipo médico descartó causas malignas, infecciones virales y daño medicamentoso por bisfosfonatos o dabigatrán. Finalmente, con base en la evolución clínica y los hallazgos endoscópicos, se diagnosticó enfermedad por reflujo gastroesofágico (ERGE) severa secundaria a vómitos repetidos inducidos por semaglutida.
El fármaco fue suspendido y la paciente recibió tratamiento con inhibidores de la bomba de protones y agentes mucoprotectores, logrando una recuperación completa. Un mes después, la endoscopia de control confirmó la cicatrización total de la úlcera sin estenosis residual.
Un llamado a la precaución clínica
Los autores subrayan que los efectos gastrointestinales, especialmente el vómito recurrente, son reacciones adversas bien conocidas de los agonistas del receptor GLP-1 y pueden derivar en complicaciones graves como la esofagitis severa.
Recomiendan que ante síntomas persistentes, como vómitos, náuseas o dolor epigástrico, durante el tratamiento con GLP-1 RA, los profesionales no deben continuar la terapia sin una evaluación exhaustiva, incluyendo endoscopia digestiva alta, para prevenir lesiones mayores.
Fuente original aquí









