Una infección bacteriana poco común puede simular un tumor abdominal y terminar en una emergencia quirúrgica con perforación esplénica. En este reporte, una mujer de 32 años fue admitida al servicio de urgencias por dolor abdominal agudo, náuseas y fatiga, acompañados de signos de inestabilidad hemodinámica. La ecografía FAST inicial evidenció líquido libre en la cavidad abdominal y hematoma esplénico, lo que motivó la evaluación urgente por imagen y manejo quirúrgico.
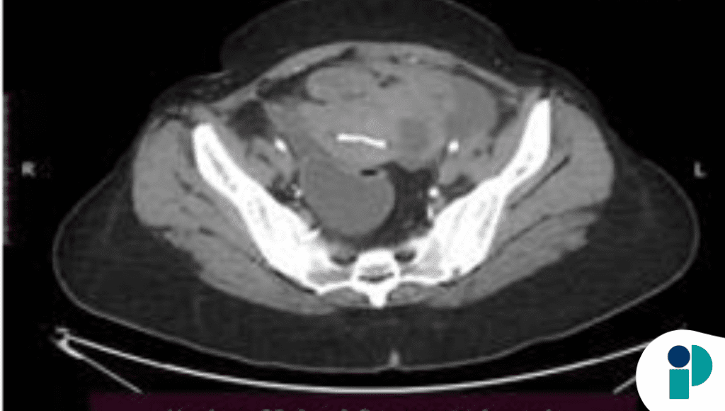
La tomografía computarizada con contraste reveló una masa compleja sugestiva de formación tumoral, colecciones abscesales en la cavidad, y perforación subcapsular del bazo, hallazgos que inicialmente llevaron a la sospecha de una neoplasia ovárica con metástasis hepática. Sin embargo, la evaluación intraoperatoria mostró adherencias densas, abscesos y perforación esplénica activa, lo que llevó a la splenectomía, evacuación de colecciones purulentas y biopsias de las lesiones.
El examen histopatológico de las muestras fue determinante: reveló inflamación purulenta y abscesos compatibles con actinomicosis abdominal, una infección granulomatosa crónica causada por bacterias del género Actinomyces, principalmente Actinomyces israelii, que son anaerobios grampositivos que forman tejidos de granulación con abscesos e infiltración tisular progresiva. Esta condición suele representar entre 10 % a 20 % de las actinomicosis extrapulmonares, y aunque puede afectar múltiples partes del abdomen, la perforación esplénica es extremadamente rara pero potencialmente mortal.
La actinomicosis abdominal se presenta clínicamente con síntomas inespecíficos, como dolor abdominal persistente, fiebre, pérdida de peso y masas que pueden confundirse con tumores malignos o abscesos ocasionales. El diagnóstico previo a la cirugía es difícil debido a que los estudios de imagen y los síntomas son poco específicos, y la confirmación definitiva suele requerir biopsia histológica con identificación de características típicas de la infección.
En este caso, el manejo incluyó intervención quirúrgica urgente dada la perforación esplénica y las colecciones infecciosas. Tras la estabilización, la paciente fue tratada con antibióticos de amplio espectro, ajustados posteriormente según cultivo o sensibilidad cuando fue posible, y se retiró un dispositivo intrauterino que podría haber sido un factor predisponente para la infección. La evolución clínica fue favorable con disminución progresiva de las colecciones abscesales en el seguimiento.
Este caso pone de relieve que la actinomicosis abdominal debe considerarse en el diagnóstico diferencial de masas abdominales complejas y abscesos, especialmente cuando las imágenes sugieren un proceso infiltrativo y el cuadro clínico no encaja claramente con malignidad o causas más comunes. La combinación de evaluación quirúrgica, histología e manejo antibiótico prolongado es clave para un desenlace exitoso.
Fuente original aquí









