“Las lesiones metastásicas en el páncreas representan solo entre el 0,5 % y el 3 % de todos los tumores pancreáticos”, describe el caso clínico reportado en la literatura. Este reporte muestra cómo una lesión pancreática poco común terminó siendo la manifestación de un cáncer colorrectal subyacente, en un escenario diagnóstico complejo.
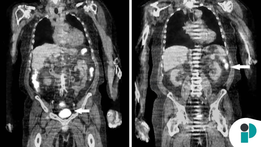
El caso presenta a un paciente con diagnóstico de neoplasia colorrectal en quien, durante la evaluación inicial, se identificó una lesión simultánea en el páncreas distal, lo que generó sospecha de una segunda neoplasia primaria. Sin embargo, este tipo de presentación es extremadamente infrecuente.
Las metástasis pancreáticas suelen originarse principalmente en tumores de riñón, pulmón o colon, pero la aparición sincrónica —es decir, al mismo tiempo que el tumor primario— es excepcional, con muy pocos casos reportados en la literatura.
El reto diagnóstico radica en que estas lesiones pueden simular tumores primarios del páncreas, lo que cambia completamente el enfoque terapéutico y el pronóstico del paciente.
En este caso, el manejo incluyó resección quirúrgica tanto del tumor colorrectal como de la lesión pancreática, permitiendo confirmar mediante histopatología que se trataba de una metástasis pancreática de origen colónico.
Uno de los puntos más relevantes es que la identificación correcta del origen tumoral es clave para definir la estrategia de tratamiento, ya que las metástasis pueden beneficiarse de abordajes quirúrgicos en casos seleccionados.
Este caso resalta que, aunque raras, las metástasis pancreáticas deben considerarse en pacientes con cáncer conocido, especialmente cuando se identifican lesiones atípicas en estudios de imagen.
Además, pone en evidencia la importancia de un enfoque multidisciplinario, ya que la combinación de cirugía y diagnóstico histológico permitió establecer el origen real de la lesión y guiar el manejo adecuado.
Fuente original aquí









