Un caso clínico inusual ha puesto de relieve el potencial patógeno de la bacteria Haemophilus influenzae en infecciones de prótesis articulares. A pesar de ser un microorganismo común en el sistema respiratorio, rara vez se le asocia con infecciones periprotésicas (IAP). El caso fue documentado en un artículo científico que incluyó una revisión de la literatura médica existente.
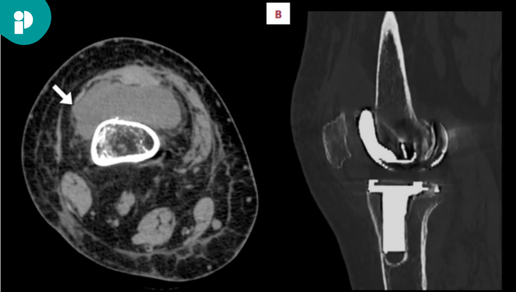
El informe detalla el caso de una mujer de 59 años que desarrolló dolor e incapacidad para caminar en su rodilla derecha, un año después de haberse sometido a una artroplastia total de rodilla. La paciente, con un historial de infecciones respiratorias recurrentes, fue diagnosticada con una infección en la articulación protésica.
Los análisis de laboratorio confirmaron la presencia de H. influenzae en muestras de aspirado de la rodilla y en un cultivo de sangre. La cepa aislada no era del tipo B ni productora de beta-lactamasa, lo que facilitó el tratamiento.
La mujer fue tratada con una combinación de antibióticos intravenosos y orales, específicamente ceftriaxona y cefuroxima, durante un periodo total de 44 días. Además del tratamiento farmacológico, la paciente se sometió a dos cirugías de revisión: una primera etapa de desbridamiento, irrigación y colocación de un espaciador, seguida de una segunda etapa para una revisión completa de la prótesis.
El éxito del tratamiento resalta la importancia de una gestión multidisciplinaria para abordar el diagnóstico y tratamiento de la IAP.
Los autores del estudio concluyen que, aunque poco común, este caso demuestra que H. influenzae debe ser considerado como un posible agente causal en casos de infecciones en prótesis articulares, especialmente en pacientes con antecedentes de infecciones respiratorias.
Fuente: AQUÍ









