El cáncer de mama continúa siendo el tipo de cáncer más frecuente entre las mujeres y la segunda causa de muerte relacionada con tumores malignos en este grupo. Gracias a los avances en cirugía conservadora y radioterapia (RT), hoy las tasas de supervivencia libre de progresión y supervivencia global son comparables a las obtenidas con mastectomías radicales. Sin embargo, este progreso también ha traído consigo un desafío clínico poco común pero de gran relevancia: el angiosarcoma mamario asociado a radiación (RAS).
Una complicación poco frecuente, pero altamente agresiva
El angiosarcoma de mama es un tumor vascular maligno compuesto por células endoteliales neoplásicas. Puede ser primario o secundario a la exposición a radiación ionizante. En pacientes oncológicos con antecedentes de radioterapia, el RAS representa una forma secundaria, que afecta aproximadamente al 0,1 % de las mujeres irradiadas, con una latencia media de ocho años después del tratamiento inicial.
Aunque constituye menos del 1% de todos los cánceres de mama, el RAS tiene un comportamiento particularmente agresivo, con una tasa de supervivencia a cinco años cercana al 20 %, debido a la alta recurrencia local y el potencial de metástasis.
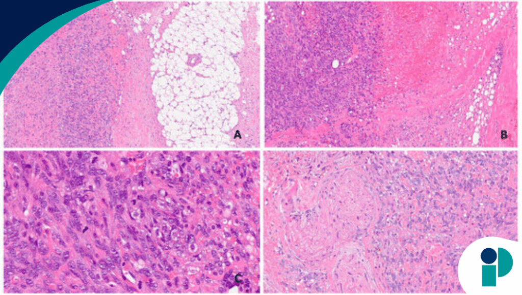
De acuerdo con la Clasificación de Tumores Mamarios de la OMS, el RAS se diferencia del angiosarcoma primario por sus características morfológicas, citológicas y moleculares. Macroscópicamente, suele presentarse como una masa hemorrágica y friable, con invasión del tejido subcutáneo o del parénquima mamario residual en casos de cirugía conservadora.
La mayoría de los casos son de alto grado y pobremente diferenciados, con proliferación de células endoteliales atípicas, abundantes figuras mitóticas y patrones de crecimiento infiltrativo. En inmunohistoquímica, los marcadores CD31, CD34, ERG y factor VIII suelen ser positivos, mientras que los receptores hormonales (estrógeno y progesterona) son negativos.
Desde el punto de vista molecular, se ha observado amplificación del gen MYC, considerada un marcador distintivo del angiosarcoma secundario, así como alteraciones en los genes p53, MDM2, FLT4 y la vía mTOR, implicadas en la progresión tumoral.
Diagnóstico y diagnóstico diferencial
El diagnóstico del RAS puede ser complejo. Las técnicas de imagen, mamografía, ecografía y resonancia magnética, ofrecen hallazgos inespecíficos o variables, por lo que la biopsia es indispensable para confirmar el diagnóstico.
Entre los diagnósticos diferenciales se incluyen el angiosarcoma primario, las lesiones vasculares atípicas y otras neoplasias mamarias, como el carcinoma metaplásico. La presencia de amplificación del gen MYC y la historia previa de radioterapia suelen ser claves para establecer el origen post-radiación.
Tratamiento y pronóstico
Hasta el momento, no existe un tratamiento estándar definido para el RAS. La mastectomía total continúa siendo la opción de elección en la mayoría de los casos, mientras que la quimioterapia, con agentes como doxorrubicina, docetaxel, gemcitabina, epirubicina y paclitaxel, se reserva para contextos neoadyuvantes, adyuvantes o paliativos.
Algunos estudios recientes han explorado el uso de combinaciones inmunoquimioterápicas (por ejemplo, nivolumab-paclitaxel) y estrategias de re-irradiación hiperfraccionada y acelerada (HART) en casos seleccionados, aunque con resultados aún limitados.
El pronóstico, sin embargo, sigue siendo desfavorable, con recurrencias locales tempranas y una rápida progresión metastásica. De ahí la importancia de una vigilancia estrecha y prolongada en pacientes que hayan recibido radioterapia por cáncer de mama, incluso años después de haber completado el tratamiento.
El angiosarcoma mamario asociado a radiación representa una entidad rara, de diagnóstico complejo y curso clínico agresivo, cuya incidencia podría aumentar en los próximos años debido al mayor uso de terapias conservadoras y radiación adyuvante.
Este caso clínico pone de relieve la necesidad de reconocer tempranamente los signos cutáneos sospechosos post-radiación y fortalecer la colaboración multidisciplinaria entre oncólogos, patólogos y cirujanos para mejorar la detección y el abordaje terapéutico de esta devastadora complicación.
Fuente original aquí









