Una complicación neurológica devastadora puede ser la primera pista de un cáncer gastrointestinal oculto. En este reporte se describen tres pacientes cuya manifestación inicial fue carcinomatosis leptomeníngea, una diseminación tumoral hacia las meninges del sistema nervioso central, una presentación extremadamente rara para neoplasias del tracto digestivo.
La carcinomatosis leptomeníngea ocurre cuando células malignas invaden la piamadre y la aracnoides, infiltrando el líquido cefalorraquídeo y las superficies del sistema nervioso central. Aunque se observa en aproximadamente 5 % de pacientes con cáncer recurrente, suele aparecer en etapas avanzadas de la enfermedad y rara vez constituye el primer signo de malignidad.
En los casos descritos, los pacientes consultaron inicialmente por síntomas neurológicos agudos o subagudos. Uno presentó hemiparesia izquierda, otro rigidez de nuca sin déficit focal, y un tercero signos cerebelosos con alteraciones de la coordinación. La investigación posterior mediante estudios de imagen y evaluación clínica detallada permitió identificar la infiltración meníngea y finalmente el origen gastrointestinal del tumor.
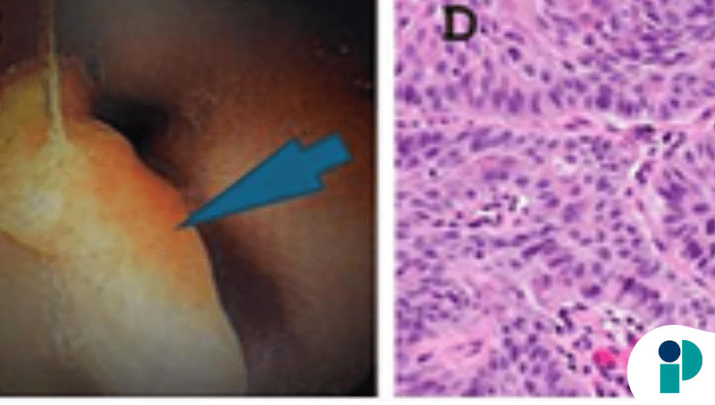
El diagnóstico definitivo se apoyó en resonancia magnética cerebral, análisis del líquido cefalorraquídeo y biopsias de las lesiones primarias, como ocurrió en un paciente cuyo estudio endoscópico reveló una lesión ulcerada gástrica confirmada como adenocarcinoma infiltrante.
La evolución clínica suele ser desfavorable. La carcinomatosis leptomeníngea tiene pronóstico limitado, con supervivencia de apenas semanas sin tratamiento y de aproximadamente dos a tres meses incluso con terapia. Las opciones terapéuticas incluyen radioterapia, quimioterapia sistémica e intratecal, aunque el objetivo en muchos casos es paliativo.
Este reporte destaca que los síntomas neurológicos inexplicados —como cefalea persistente, convulsiones, alteraciones de la marcha o déficits neurológicos focales— pueden ser la primera señal de una neoplasia gastrointestinal subyacente. Una evaluación clínica exhaustiva y el uso temprano de neuroimagen son fundamentales para detectar estas presentaciones inusuales de enfermedad metastásica.
Fuente original aquí









