“Las fracturas de Monteggia representan menos del 2 % de las fracturas del antebrazo”, destaca este reporte. Este caso ilustra cómo una lesión aparentemente común puede ocultar un diagnóstico poco frecuente pero clínicamente relevante.
Se presenta el caso de una mujer de 26 años que acudió a urgencias tras una caída durante patinaje sobre hielo, con dolor intenso en el codo izquierdo luego de impactar con la mano extendida. En la evaluación inicial se evidenció edema, dolor a la palpación en el codo lateral, deformidad en valgo y limitación marcada del movimiento, aunque con pulsos conservados y sin compromiso neurológico.
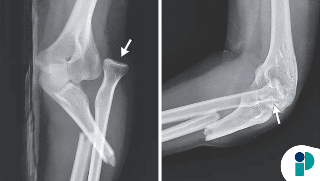
Aunque inicialmente la lesión parecía rutinaria, los estudios de imagen revelaron el hallazgo clave: fractura del tercio proximal del cúbito asociada a luxación de la cabeza radial, compatible con una fractura de Monteggia, una lesión combinada que puede pasar desapercibida.
Este tipo de fractura es particularmente desafiante porque la fractura del cúbito suele ser evidente, pero la luxación radial puede ser sutil y fácilmente omitida, especialmente en adultos, donde es menos frecuente. La falta de reconocimiento oportuno puede llevar a inestabilidad crónica del codo, limitación funcional e incluso lesión nerviosa.
La paciente fue llevada a manejo quirúrgico con reducción abierta y fijación interna del cúbito, junto con reducción cerrada de la cabeza radial, logrando una adecuada alineación articular.
En el seguimiento a 12 semanas, presentó recuperación completa de la función del codo, sin dolor ni secuelas, con retorno a su rango de movilidad normal en los meses posteriores.
Este caso resalta la importancia de evaluar sistemáticamente la alineación radiocapitelar en toda fractura del antebrazo, especialmente en mecanismos de caída sobre la mano extendida, ya que el diagnóstico precoz permite un tratamiento oportuno y evita complicaciones a largo plazo.
Fuente original aquí









