Un inusual caso clínico ha llamado la atención de la comunidad médica: una mujer joven diagnosticada con enfermedad de Crohn fulminante presentó como manifestación inicial un neumomediastino, una acumulación de aire en el mediastino —la cavidad central del tórax—, condición extremadamente rara en este contexto.
El informe, titulado “Neumomediastino inesperado en la enfermedad de Crohn: implicaciones y análisis de casos”, subraya la importancia de considerar esta complicación poco frecuente dentro del espectro de la enfermedad inflamatoria intestinal (EII), especialmente cuando los pacientes muestran síntomas torácicos sin una causa aparente.
Un cuadro atípico
La paciente, una mujer de 23 años, acudió con estreñimiento de dos semanas seguido de diarrea sanguinolenta, vómitos, fiebre y dolor abdominal. Inicialmente fue tratada como una gastroenteritis aguda, pero su taquicardia persistente llevó a los médicos a realizar una tomografía computarizada de tórax, en la que se detectó de forma incidental un neumomediastino y una embolia pulmonar.
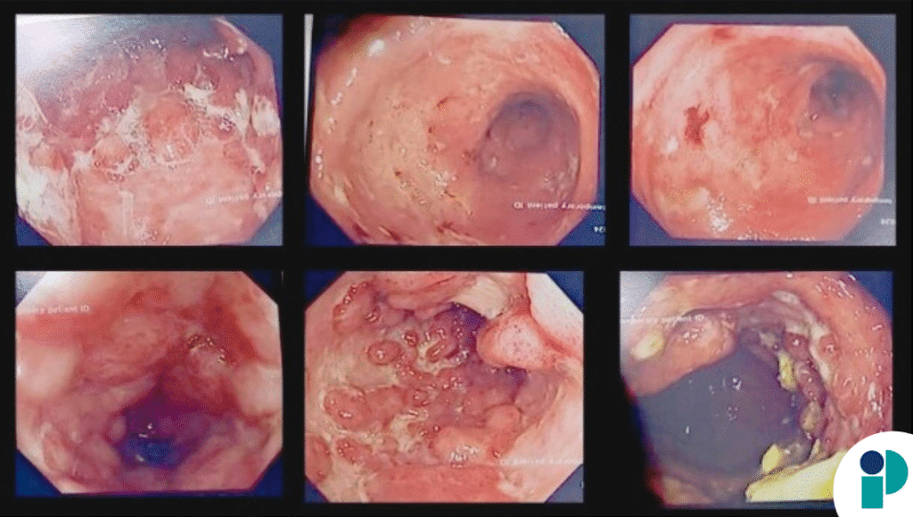
El cuadro evolucionó rápidamente hacia una acidosis láctica grave, hipoglucemia y daño hepático severo, lo que motivó una evaluación más profunda. Las biopsias endoscópicas y los estudios de imagen confirmaron el diagnóstico de enfermedad de Crohn fulminante, con afectación hepática, colitis grave y complicación torácica.
La paciente respondió favorablemente al tratamiento con corticosteroides y fue dada de alta tras una evolución clínica positiva. En el seguimiento, se inició tratamiento inmunosupresor para el control de la enfermedad inflamatoria.
Implicaciones clínicas
El neumomediastino espontáneo es una complicación excepcional en la enfermedad de Crohn. Los pocos casos descritos en la literatura médica suelen asociarse a perforaciones intestinales, procedimientos endoscópicos o uso prolongado de esteroides, factores ausentes en este caso.
Los autores del informe destacan que esta manifestación podría reflejar un cuadro inflamatorio intestinal grave y que la identificación temprana de signos como taquicardia o taquipnea podría ser clave para detectar complicaciones potencialmente letales.
El caso resalta la necesidad de que los equipos clínicos mantengan un alto índice de sospecha ante síntomas respiratorios o cardiovasculares en pacientes con enfermedad inflamatoria intestinal, incluso cuando no existe un antecedente de intervención médica reciente.
Fuente: AQUÍ









