Un caso clínico inusual ha puesto de relieve la complejidad de las complicaciones cardiovasculares asociadas a los inhibidores de puntos de control inmunitario (ICI), terapias ampliamente utilizadas en el tratamiento del cáncer.
Se trata del síndrome de Takotsubo (TTS), una forma reversible de miocardiopatía, desencadenado en este caso por una neumonitis inducida por inmunoterapia, un fenómeno del que la Organización Mundial de la Salud solo ha documentado 13 casos vinculados al uso de ICI.
Detalles del caso
La paciente, una mujer de 64 años con carcinoma de células escamosas de pulmón derecho en estadio IV, acudió a evaluación médica por síntomas de insuficiencia cardíaca y un empeoramiento progresivo de la disnea. El cuadro clínico se inició dos semanas después de recibir su primer ciclo de quimioterapia combinada con carboplatino, paclitaxel y el agente inmunoterapéutico pembrolizumab.
Los estudios iniciales mostraron hallazgos sugestivos de daño cardíaco agudo. El electrocardiograma reveló un bloqueo de rama derecha con elevación del segmento ST, mientras que los marcadores cardíacos evidenciaron una elevación significativa de la troponina, con un pico de 424 ng/L, y un proBNP de 865 pg/mL.
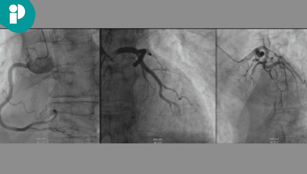
El ecocardiograma transtorácico evidenció una fracción de eyección del ventrículo izquierdo reducida, entre 35 % y 39 %, acompañada de aquinesia en los segmentos medios y apicales de la pared ventricular izquierda.
Ante la sospecha inicial de miocarditis inducida por ICI (una complicación grave que suele obligar a suspender la inmunoterapia por el alto riesgo de desenlaces adversos) el equipo clínico optó por realizar estudios cardíacos avanzados. La resonancia magnética cardíaca y la biopsia endomiocárdica fueron determinantes para descartar la miocarditis y confirmar el diagnóstico de síndrome de Takotsubo.
Los especialistas advierten que no todos los cuadros de insuficiencia cardíaca asociados a los ICI corresponden a miocarditis. Tanto el TTS como la miocarditis por inmunoterapia pueden presentar hallazgos similares en la resonancia magnética, especialmente por la presencia de edema miocárdico.
Sin embargo, la distribución regional de las alteraciones y el análisis histológico pueden orientar el diagnóstico definitivo. En este contexto, la identificación de macrófagos proinflamatorios en la biopsia sugiere un posible mecanismo de vínculo entre la inmunoterapia oncológica y el desarrollo del TTS.
Este caso destaca la importancia de un abordaje multidisciplinario y del uso de pruebas cardíacas avanzadas antes de suspender tratamientos oncológicos potencialmente salvadores. Además, demuestra que, con un diagnóstico preciso, es posible replantear de forma segura la continuidad o reexposición a la inmunoterapia, evitando decisiones terapéuticas innecesariamente restrictivas basadas en diagnósticos incompletos.









