Una mujer de 70 años con cáncer de mama localmente invasivo fue diagnosticada con insuficiencia suprarrenal tras acudir a consulta por debilidad progresiva, mareos al ponerse de pie y caídas recurrentes, un cuadro que inicialmente generó preocupación por la posibilidad de complicaciones oncológicas o efectos adversos del tratamiento.
La paciente, con antecedentes de hipertensión y enfermedad por reflujo gastroesofágico, recibía inmunoterapia con pembrolizumab junto con quimioterapia semanal con paclitaxel y carboplatino, y se encontraba en preparación para una mastectomía programada.
En las semanas previas había presentado disminución marcada de la ingesta oral, náuseas, vómitos y una pérdida de peso de casi siete kilogramos.
Durante la evaluación clínica se constató hipotensión, taquicardia, signos de deshidratación y mal estado general, lo que motivó su traslado a urgencias. Los estudios de laboratorio revelaron hiponatremia, hipoglucemia, deterioro de la función renal y anemia, hallazgos que orientaron a los médicos a sospechar una endocrinopatía inmunomediada, una complicación conocida de los inhibidores de puntos de control inmunitario.
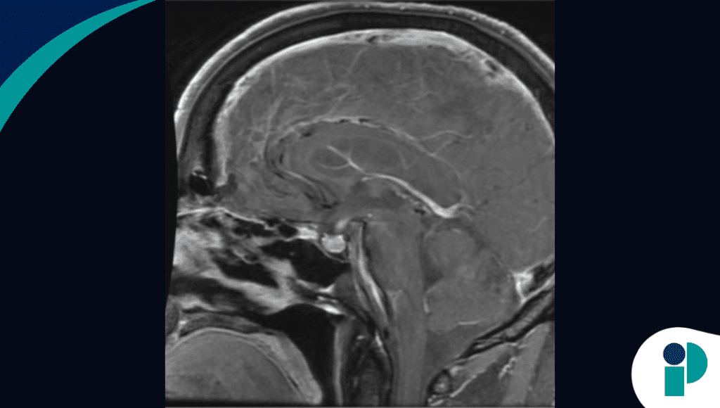
La clave diagnóstica fue un nivel de cortisol sérico marcadamente bajo medido a las 8 de la mañana, compatible con insuficiencia suprarrenal. Estudios posteriores, incluida una resonancia magnética cerebral, evidenciaron hipofisitis, confirmando una insuficiencia suprarrenal central asociada a la inmunoterapia.
Los especialistas explican que este cuadro puede manifestarse con síntomas inespecíficos como fatiga, náuseas, vómitos, pérdida de peso e hipotensión, por lo que requiere un alto índice de sospecha clínica, especialmente en pacientes tratados con inmunoterapia.
El tratamiento indicado es la reposición de glucocorticoides, inicialmente por vía intravenosa en casos de inestabilidad hemodinámica, seguida de terapia de mantenimiento a largo plazo.
Aunque la insuficiencia suprarrenal inducida por inmunoterapia suele ser una condición permanente, los expertos subrayan que no necesariamente obliga a suspender el tratamiento oncológico si el cáncer responde adecuadamente. Tampoco impide la realización de procedimientos quirúrgicos, siempre que se administren dosis de estrés de esteroides.
Este caso pone de relieve la importancia de reconocer de forma temprana las toxicidades endocrinas asociadas a la inmunoterapia, una herramienta cada vez más utilizada en oncología, pero que requiere un seguimiento clínico estrecho para garantizar la seguridad y el bienestar de los pacientes.









