El empiema necessitatis es una complicación poco frecuente de la neumonía que puede poner en riesgo la vida de los pacientes pediátricos si no se diagnostica y trata a tiempo. Esta condición se presenta cuando una acumulación de pus en el espacio pleural se extiende hacia los tejidos blandos vecinos, formando una fístula entre la cavidad pleural y la piel.
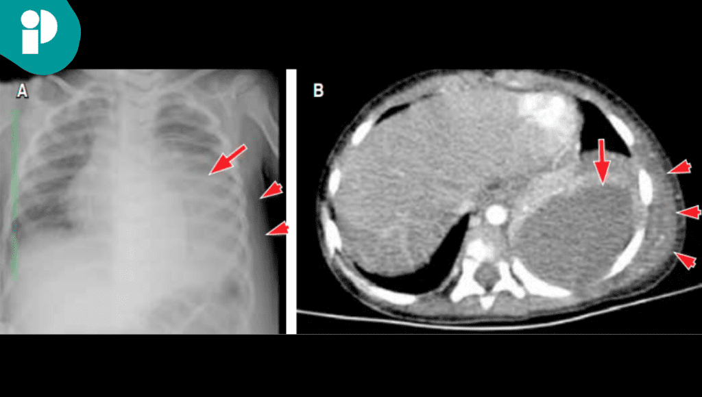
Un reciente reporte clínico describe dos casos en niños que ilustran la diversidad de presentación y la importancia del diagnóstico oportuno. El primer caso correspondió a un niño en edad preescolar, previamente sano, que consultó por fiebre persistente y la aparición de una masa en la región torácica. Los estudios de imagen permitieron confirmar el diagnóstico de empiema necessitatis.
El paciente requirió un manejo quirúrgico con decorticación del lóbulo inferior izquierdo, además de tratamiento antimicrobiano. En este caso, el microorganismo aislado fue Serratia marcescens, una bacteria poco habitual en este tipo de infecciones.
El segundo caso se presentó en un paciente con antecedente de enfermedad granulomatosa crónica, un trastorno inmunológico que aumenta la susceptibilidad a infecciones.
El síntoma principal fue la aparición de masas en la cara anterior y posterior del tórax. Los estudios de imagen revelaron no sólo la extensión del empiema, sino también compromiso óseo. El agente causal identificado fue Aspergillus flavus, un hongo que obligó a un tratamiento prolongado con voriconazol durante seis meses, además de drenaje quirúrgico.
Los autores destacan que, aunque el empiema necessitatis es raro, debe considerarse dentro de los diagnósticos diferenciales en niños con neumonía complicada, especialmente cuando aparecen masas en la pared torácica.
Reconocer esta entidad de forma temprana permite iniciar un tratamiento adecuado y oportuno, reducir complicaciones y mejorar el pronóstico en la población pediátrica.









