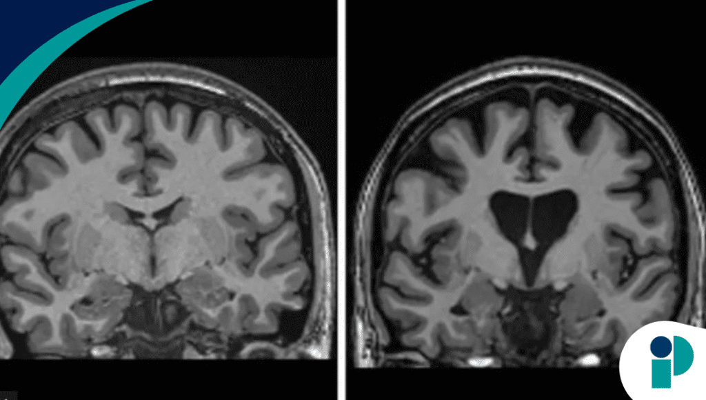
Un equipo de médicos del University College de Londres (UCL) logró lo que hasta hace poco parecía imposible: ralentizar de manera significativa la progresión de la enfermedad de Huntington, uno de los trastornos neurológicos más devastadores y hereditarios conocidos.
La investigación mostró que la nueva terapia génica redujo en un 75 % el avance clínico de la enfermedad, lo que significa que el deterioro que normalmente ocurre en un año tardaría hasta cuatro años en producirse. “Ni en nuestros mejores sueños habríamos esperado una ralentización del 75 % en la progresión clínica”, declaró emocionada la profesora Sarah Tabrizi, directora del Centro de Enfermedad de Huntington del UCL.
Un antes y un después
Los primeros síntomas de Huntington suelen aparecer entre los 30 y 40 años y la enfermedad suele ser mortal en unas dos décadas. Este avance abre la posibilidad de que, aplicado tempranamente, el tratamiento pueda prevenir la aparición de los síntomas.
La terapia consiste en una compleja cirugía cerebral de entre 12 y 18 horas en la que se administra un virus modificado que actúa como “cartero microscópico”, llevando un fragmento de ADN diseñado para bloquear la producción de la proteína huntingtina mutante, responsable de destruir neuronas.
Los resultados del ensayo con 29 pacientes son alentadores: algunos que se habían jubilado por discapacidad regresaron al trabajo y otros, que se esperaba necesitaran una silla de ruedas, todavía caminan.
La enfermedad es hereditaria, y cada hijo de una persona afectada tiene un 50 % de probabilidades de heredar el gen defectuoso. Jack May-Davis, de 30 años, vio a su padre deteriorarse y morir a los 54 años a causa de Huntington. Portador del mismo gen, asegura que este avance le permite mirar el futuro con optimismo.
Un tratamiento pionero
Los datos preliminares, difundidos por la biotecnológica uniQure, muestran no solo una ralentización clínica, sino también evidencia de que el tratamiento está salvando células cerebrales.
El profesor Ed Wild, neurólogo consultor del Hospital Nacional de Neurología y Neurocirugía del UCL, reconoció: “Había muchas posibilidades de que nunca viéramos un resultado como este. La magnitud real del efecto es impresionante. Se me saltan las lágrimas al pensar en el impacto que puede tener en las familias”.
El procedimiento se considera seguro, aunque algunos pacientes presentaron efectos secundarios como inflamación cerebral, controlados con esteroides.
El reto del acceso
El entusiasmo es grande, pero los especialistas reconocen que el tratamiento será costoso y complejo. “Sin duda será caro”, advirtió Wild. Aun así, el potencial de esta terapia es histórico.
La profesora Tabrizi sostiene que este es apenas “el comienzo” y que los resultados abrirán la puerta a futuros ensayos, incluso en personas que aún no presentan síntomas. El objetivo: detener la enfermedad antes de que comience a manifestarse.Fuente consultada: AQUÍ









