Un equipo médico ha documentado un caso clínico pionero en el que la neuromodulación sacra (SNM) fue utilizada con éxito para tratar una severa hidroureteronefrosis en una paciente que había sido sometida a una histerectomía radical como parte del tratamiento para el cáncer de cuello uterino.
El informe, que se suma al escaso número de estudios sobre disfunción tardía del tracto urinario inferior tras una histerectomía radical, detalla la evolución clínica de una mujer de 44 años que presentó insuficiencia renal severa y daño bilateral del tracto urinario superior más de un año después de la cirugía.
Complicaciones tardías
Tras el procedimiento quirúrgico inicial —una histerectomía radical con linfadenectomía pélvica bilateral—, la paciente desarrolló hidroureteronefrosis bilateral e insuficiencia renal, con un nivel de creatinina de 287 µmol/L, muy por encima del rango normal. Esta complicación no era consecuencia directa del cáncer, sino del mal funcionamiento de la vejiga, que ejercía una presión anormalmente alta sobre el sistema urinario.
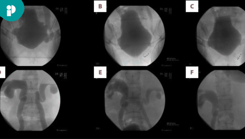
Un estudio videourodinámico confirmó la presencia de reflujo ureteral bilateral de grado IV-V y una reducción importante en la capacidad de distensión de la vejiga. Para estabilizar la situación, se colocó un catéter permanente durante tres meses, lo que permitió una mejoría parcial de la función renal.
Una solución innovadora
Con base en los hallazgos, los médicos determinaron que la causa principal del deterioro del tracto urinario superior era la presión vesical elevada. Fue entonces cuando se optó por implantar un sistema de neuromodulación sacra, una técnica que estimula eléctricamente los nervios sacros encargados de controlar la vejiga y el esfínter urinario.
El tratamiento logró restaurar la función del tracto urinario inferior, facilitando el almacenamiento y vaciado de orina a baja presión. Cuatro años después de la intervención, la paciente mantiene niveles normales de creatinina (75 µmol/L), sin signos de hidronefrosis en los estudios de imagen y con volúmenes de orina residual normales. Además, los análisis de orina no muestran anomalías.
Este hallazgo representa un avance importante en el manejo de las complicaciones urinarias postoperatorias en pacientes oncológicas y podría establecer una nueva pauta clínica para preservar la función renal cuando el tracto urinario inferior presenta disfunción severa.
La neuromodulación sacra, tradicionalmente usada para tratar vejiga hiperactiva y disfunciones miccionales, se perfila ahora como una opción viable para casos complejos, en los que está en juego algo más que la comodidad: la preservación de órganos vitales como los riñones.
Fuente consultada: AQUÍ









