Un reciente informe médico documenta el caso inusual de un hombre de 35 años, seropositivo, que experimentó asistolia desencadenada por la deglución, un síntoma atípico que complicó su diagnóstico. El caso clínico destaca la importancia de una evaluación exhaustiva para pacientes con el virus de la inmunodeficiencia humana (VIH).
El paciente ingresó al hospital con un cuadro grave que incluía neumonía, diabetes tipo 1 descompensada e infección sistémica. A medida que su estado de salud se deterioraba, se manifestó un síntoma alarmante: su corazón dejaba de latir (asistolia) cada vez que tragaba. Esta condición, poco común, puede ser causada por diversos factores, pero en este caso estaba vinculada a una arritmia cardíaca.
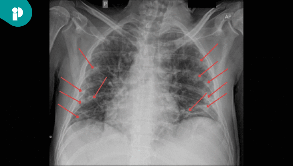
Aunque las pruebas de imagen iniciales sugerían neumonía por Pneumocystis y una embolia pulmonar, la persistencia de los síntomas atípicos y el empeoramiento del paciente llevaron a una ecocardiografía.
Este estudio reveló la presencia de vegetación en la válvula tricúspide, lo que confirmó el diagnóstico de endocarditis infecciosa. Este hallazgo fue crucial, ya que la infección en la válvula cardíaca era la causa subyacente de la asistolia al tragar.
El tratamiento del paciente incluyó una cirugía en un centro especializado para extirpar la vegetación de la válvula. A raíz de la intervención y la administración de antibióticos, los episodios de asistolia durante la deglución desaparecieron, lo que subraya la relación directa entre la infección y el síntoma atípico.
El informe concluye que, dada la presentación atípica del paciente con VIH, el diagnóstico de la endocarditis fue un desafío considerable. El caso resalta la necesidad de que los médicos consideren una evaluación cardíaca, como un electrocardiograma (ECG), incluso cuando los síntomas iniciales apunten a condiciones más comunes como la neumonía.
Fuente consultada: AQUÍ









